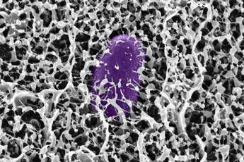
(Adnkronos) – Individuato il meccanismo d’azione delle mucine MUC2 contro i patogeni intestinali. La ricerca apre la strada allo sviluppo di farmaci sintetici per prevenire la “diarrea del viaggiatore”
Scoperta del MIT: il muco contiene molecole che bloccano l’infezione da Salmonella

